Totalprothese
ie totale Zahnlosigkeit, die durch notwendige Extraktionen als Folge von Karies und Parodontopathien verursacht sein kann, ist im hohen Lebensalter noch immer ein häufiger Befund. Das Behandlungsmittel der Wahl stellt in der Regel die schleimhautgetragene Totalprothese dar.
Im Rahmen der Versorgung werden die fehlenden Zähne durch Keramik- oder Kunststoffzähne ersetzt, die an Stelle der ehemals natürlichen Zähne aufgestellt werden. Über eine zahnfleischfarbene Prothesenbasis, ebenfalls aus Kunststoff, wird die Verbindung und der Halt zur Schleimhaut bzw. den Kieferkämmen hergestellt. Die Haftung von Totalprothesen wird durch Adhäsionskräfte zwischen der Schleimhaut und der Prothese mit einem dazwischen befindlichen Speichelfilm, ähnlich zweier Glasplatten mit einem Wasserfilm, erreicht. Vorraussetzungen hierfür sind eine exakte Kongruenz, dies bedeutet eine möglichst genaue Passung zwischen Prothesenbasis und Prothesenlager bzw. Schleimhaut. Des weiteren ist eine korrekte Ausdehnung der Prothese und eine funktionelle Gestaltung der Prothesenränder notwendig, damit sie bei Bewegungen der Muskulatur lagestabil bleibt. Zur Ermittlung dieser Parameter wird eine Funktionsabformung durchgeführt.
Um den Prothesendruck so gering wie möglich zu halten, muss die Basis auf einer möglichst großen Fläche abgestützt und die Prothese auch beim Zubiss lagestabil sein. Fehlbelastung der Kiefer durch schlecht sitzende Prothesen führen zu einem verstärkten Abbau der Kieferkämme.

Abb.1: Unbezahnter Ober- und Unterkiefer.

Abb.2: Herstellung von Registrierbehelfen auf Situationsmodellen zur Funktionsabformung und Bestimmung der vertikalen und horizontalen Dimension.

Abb.3: Funktionsabformung von Ober- und Unterkiefer, für exakte Passung zwischen Prothese und Schleimhaut.

Abb.4: Aufstellung der künstlichen Zähne vorerst in Wachs zur Anprobe, sodass Zahn umstellungen noch möglich sind.

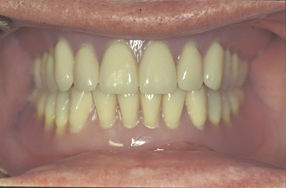
Abb.5: Endbefund: Eingegliederte Ober- und Unterkiefer-prothese im Mund des Patienten (Ansicht von frontal)

Abb.6: Endbefund: Eingegliederte Ober- und Unterkiefer-prothese im Mund des Patienten (Ansicht von der Seite)
Indikationen:
- Unbezahnte Kiefer, mit ausreichend Kieferknochen für den Halt der Totalprothesen
Ziel der Versorgung:
- Wiederherstellung der statischen und dynamischen Okklusion
- Wiederherstellung der Ästhetik und Phonetik
- Wiederherstellung und Erhalt des Kauvermögens
Durchführung:
Von Ober- und Unterkiefer werden Situationsabformungen genommen. Auf den daraus resultierenden Modellen werden Schablonen mit Wachswällen (individuelle Abformlöffel) hergestellt. In der zweiten Sitzung werden die Schablonen anprobiert, die Wachswälle auf die richtige Bisshöhe sprich Stellung der ehemals natürlichen Zähne eingestellt und eine Funktionsabformung des Ober- und Unterkiefers durchgeführt. Anschließend werden die Schablonen durch eine Bissnahme zueinander verschlüsselt.
Im Labor werden daraufhin die künstlichen Zähne zunächst in eine Basis aus Wachs aufgestellt. Diese „Wachsaufstellung“ wird in einer weiteren Sitzung am Patienten anprobiert und wenn notwendig umgestellt und individualisiert. Der Zahntechniker überführt die Prothesen dann in Kunststoff. In der nächsten Sitzung werden die fertigen Prothesen am Patienten anprobiert und nachregistriert. Durch die Nachregistrierung wird die dynamische Okklusion in eine balancierte Okklusion (d. h. gleichmäßiger Kontakt auf der Arbeits-, wie auch ggf. auf der Balanceseite bei den Bewegungen) eingestellt. Des weiteren werden Ungenauigkeiten, bedingt durch die technische Überführung der Prothesen in Kunststoff, ausgeglichen. Die Prothesen werden am Ende der Sitzung endgültig eingegliedert.
Vorteile:
- Minimalinvasives Vorgehen
- Kein chirurgischer Eingriff notwendig
- Im Vergleich zur Implantatversorgung schneller Abschluss der Behandlung
- Kostengünstige Versorgung
Nachteile:
- Abbau des Prothesenlagers bei Überbelastung
- Abgedeckter Gaumen
- Geringer oraler Komfort
- Bei ungünstigen anatomischen Verhältnissen reduziertes Kauvermögen
- Schweres Gewöhnen an Totalprothesen