Kronen
Durch kariöse Zerstörungen, undichte Füllungen, Frakturen und abgeschlossene Wurzelkanalbehandlungen kann eine Überkronung eines Zahnes notwendig werden. Nach Entfernung von Karies, defekten Füllungen bzw. frakturierten Bereichen kann es zu einem so hohen Substanzverlust kommen, das aus statischen und funktionellen Gründen keine plastische Füllung mehr verwendet werden kann, um den Zahn langfristig zu erhalten und die ursprüngliche Mundsituation des Patienten wieder herzustellen. Auch wurzelkanalbehandelte Zähne mit ausgedehnten Füllungen sollten mit einer Krone versorgt werden. Die Frakturgefahr wird dadurch vermindert.
Vorraussetzung für die Überkronung eines Zahnes ist die vollständige Entfernung der Karies unter Beibehaltung der Möglichkeit eine exakte Präparationsgrenze anzulegen. Diese Präparationsgrenze stellt den Übergang zwischen Krone und Zahn dar und muss aus prophylaktischen Gründen eindeutig zu gestalten und für den Zahnarzt zu sehen sein. Nur so kann das Auftreten einer neuen Karies vermieden werden.
Eine Krone sollte möglichst die natürliche Form des Zahnes nachahmen. Dafür muss vorher eine gleichmäßige Schicht an Substanz vom Zahn entfernt werde.
Indikationen:
- Ausgedehnte Substanzdefekte, wo plastische Füllungen nicht mehr möglich sind
- Wurzelkanalbehandelte Zähne
Ziel der Versorgung:
- Wiederherstellung bzw. Erhalt der Zahnkontakte beim Zubiss und den Bewegungen
- Wiederherstellung bzw. Erhalt der Ästhetik und Phonetik
- Wiederherstellung bzw. Erhalt des Kauvermögens

Abb.1: Abformung der präparierten Zähne
Abb.2: Die fertigen Kronen auf dem Labormodell. Ansicht frontal auf den Patienten

Abb.3: Ansicht von der Gaumenseite auf die Kronen. Zur Schonung der Zahnhartsubstanz ist dieser nicht einsehbare Bereich nicht keramisch verblendet

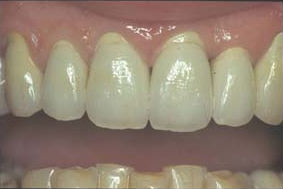
Abb.5: Die eingesetzten Kronen im Mund des Patienten. Die Keramik reicht bis unter das Zahnfleisch, damit kein Goldrand sichtbar ist
Durchführung:
In Abb.1 sind vier Oberkieferfrontzähne (12 bis 22), die zur Aufnahme von Keramikkronen unter örtlicher Betäubung vorbereitet sind, zu sehen. Alle kariöse Defekte sind entfernt, mit Aufbaufüllungen versorgt und anschließend mit wassergekühlten Schleifinstrumenten beschliffen. Im nächsten Schritt wird ein Faden in den Zahnfleischsaum gelegt, um die Präparationsgrenze für das Abformmaterial zugänglich zu machen. Nach Fadenentfernung erfolgt direkt die Abformung (Abb. 2). Auf dem resultierenden Modell werden die Kronen im Labor hergestellt (siehe Abb. 3 und 4). Während der Herstellungsdauer werden die Zähne mit provisorischen Kronen aus zahnfarbenem Kunststoff versorgt. In Abb. 3 ist die keramische Verblendung mit einem dünnen Goldrand im Bereich des Zahnfleisches zu sehen. Dieser liegt unterhalb des Zahnfleisches und ist deshalb nicht einzusehen. Von der Gaumenseite aus wird die Verblendung zum Substanzerhalt der Zähne nicht bis zum Zahnfleisch geführt (Abb. 4). Da diese Bereiche auch beim starken Lachen nicht einzusehen sind, ist mit ästhetischen Einschränkungen nicht zu rechnen. In Abb. 5 sind die im Mund des Patienten eingesetzten Kronen 12 bis 22 zu sehen. Die Ästhetik der keramischen Verblendung passt sich in Farbe und Form gut der Restbezahnung an.
Die keramische Verblendung von Kronen in Zahnfarbe bietet eine hohe Ästhetik. Die ästhetisch weniger anspruchsvolle Vollgussarbeit (Krone komplett in Gold, ohne Verblendung) bietet sich nur im hinteren Seitenzahnbereich an, da dieser beim Sprechen und Lachen kaum einzusehen ist. Im Frontzahnbereich ist eine Verblendung aus ästhetischen Gründen unverzichtbar.
Alternativ können auch vollkeramische Kronen angefertigt werden. Sie können durch Ihre Transparenz und Transluzenz die Zähne sehr natürlich wiederherstellen. Es wird dadurch eine höchstmögliche Ästhetik erreicht. Nachteilig wirkt sich allerdings der notwendig hohe Substanzabtrag auf die Zähne aus.
Vorteile:
- Hohe Ästhetik
- Hoher Tragekomfort
- Festsitzende Versorgung
- Physiologische Belastung des Kieferknochens durch rein dentale Abstützung der Krone
- Parodontalprophylaktisch günstige Versorgung
Nachteile:
- Kostenintensive Versorgung
- Verblendung nur bei ausreichenden Platzverhältnissen möglich
- Sichtbarer Goldrand nicht immer vermeidbar