Ein Unternehmen der RHÖN-KLINIKUM AG
-->

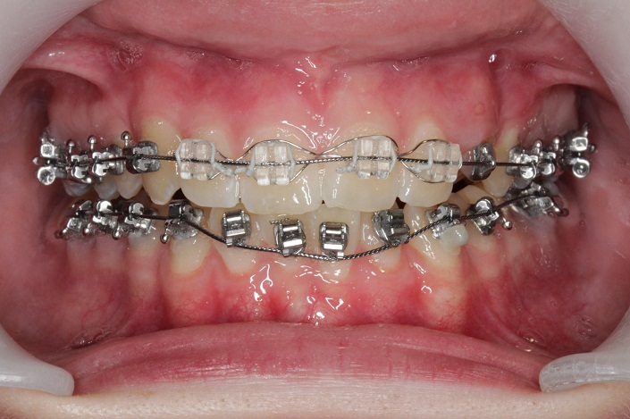
Brackets

Brackets

Da herausnehmbare Apparaturen bei komplizierten Zahn- oder Kieferfehlstellungen nur eingeschränkte Möglichkeiten der Behandlung bieten, setzten wir für komplexe körperliche Bewegungen eher so genannte Brackets als festsitzende Spangen ein,.

Vorteile

- exakte mechanische Wirkung

- duch das ununterbrochene Tragen eine effiziente und damit planbarere und vor allem kürzere Behandlungsdauer im Vergleich zu herausnehmbaren Zahnspangen.

Nachteile

- Sie jedoch eine äußerst gründliche und regelmäßige Zahnpflege und Mundhygiene - morgens, abends und nach jeder Mahlzeit

- Sie sind je nach Ausführung und Material mehr oder weniger stark sichtbar. Ein Umstand, der von Ihrem Kind und seiner Umwelt akzeptiert wird.   

 

Funktionsweise

Bei der klassischen Form der festsitzenden Spange werden zunächst kleine Metall- oder Keramikbrackets mit einem speziellen Klebstoff auf die Zahnoberfläche geklebt, die vorab versiegelt wird. Die korrigierende Wirkung erzielt die feste Spange mittels eines individuell geformten Drahtbogens, der durch die einzelnen Brackets führt und dort mit Ligaturen (Gummiringe, Drähte oder Verschlussklappen) befestigt wird.

Der Drahtbogen ist in Form des idealen Zahnbogens vorgespannt und versucht, in diese Form zurück zu gelangen. Mit der dabei ausgeübten Kraft werden die Zähne langsam in die Idealposition geführt. Um nicht zu viel Druck auszuüben erfolgt die Behandlung in vielen kleinen Schritten, wird der Drahtbogen während der Behandlung immer wieder angepasst, bis die gewünschte Korrektur erreicht ist.



Ihren Ursprung hat diese auch noch als "Multibandbehandlung" bezeichnete Technologie bereits in den 20er Jahren. Während früher nur schmale Metallbänder auf den glatten Zahnoberflächen aufzementiert werden konnten, ist mit Entwicklung spezieller Klebetechniken das feste Aufbringen der Brackets auf den Zahnoberflächen und so eine noch patientenfreundlichere Behandlung möglich geworden. Die Brackets sind immer kleiner geworden und durch neue Materialien wie Keramik oder Glasfaser zudem fast unsichtbar. Relativ neu ist die so genannte Lingualtechnik, bei der spezielle Brackets auf der Zahninnenseite befestigt werden und die Spange nicht mehr sichtbar ist. 

 

Selbstligierende Brackets

Selbstligierende Brackets haben ein modernes, glattes Design, wodurch weniger Essensreste in der Apparatur hängen bleiben. Sie sind leichter zu reinigen und hygienischer, da der Draht ohne Gummi- oder Drahtligaturen hält. Außerdem sind die Brackets angenehm klein und daher auch ästhetisch als hervorragend zu beurteilen!

Das Wichtigste jedoch: Durch die geringe Reibung, weichere Bögen und dem größeren Inter-Bracket-Abstand geringes Risiko für Druckschmerzen hat!
Als weitere Vorteile sind eine kürzere Behandlungsdauer, kürzere Termine und ein (medizinisch optimales Behandlungsergebnis?) zu nennen.

 

Durchsichtige Brackets

Saphierbrackets sind eine ästhetische Alternative zu Metallbrackets. Die weniger sichtbaren Brackets haben eine attraktive, durchsichtige Wirkung und einen hohen Tragekomfort, ohne ihre Effektivität zu verlieren.


 

Lingualbrackets

Die Lingualtechnik ist die optimale Möglichkeit für alle Patienten, die eine unsichtbare Behandlung wünschen. Bei der Lingualtechnik wird eine festsitzende Zahnspange auf der Innenseite der Zähne befestigt („lingual“ = zungenseitig). So können fast unsichtbar die Korrekturen der Zahnfehlstellungen ablaufen. Im Gegensatz zu herausnehmbaren Schienen können mit dieser Technik auch ausgeprägte Zahnfehlstellungen korrigiert werden. Die Behandlungsdauer ist ungefähr gleich lang wie bei herkömmlichen festen Zahnspangen.

 

Mit dieser Technik bieten wir Ihnen die Möglichkeit, auf unsichtbare Weise Zahnfehlstellungen zu korrigieren – und das in fast jedem Alter. Insbesondere Erwachsene wissen diese Behandlungsmöglichkeit sehr zu schätzen. Bei der Lingualtechnik wird eine festsitzende Zahnspange auf der Innenseite der Zähne befestigt („lingual“ = zungenseitig). So können die Korrekturen der Zahnfehlstellungen ablaufen, ohne dass jemand die feste Zahnspange sieht. Im Gegensatz zu herausnehmbaren Zahnspangen können mit dieser Technik auch ausgeprägte Zahnfehlstellungen korrigiert werden. Die Behandlungsdauer ist ungefähr gleich lang wie bei herkömmlichen festen Zahnspangen und die Ergebnisse sind genauso gut.

eben dem ästhetischen Vorteil bietet Ihnen die Lingualtechnik auch medizinische Vorteile, da die Zahninnenseiten für Karies und Entkalkungen weniger anfällig sind als die sichtbaren Außenseiten der Zähne.

 

Vorteile

• Hohe Ästhetik

• Gefahr der Zahnschädigung durch Plaque reduziert

• Perfekte individuelle Passgenauigkeit der Brackets

• Keine Allergie durch Verwendung von hochgoldhaltigen Legierungen

• Vorhersagbarkeit des Behandlungsergebnisses

• scheinbar schnellerer Behandlungserfolg durch permanent freie Sicht auf die Zähne

 

Nachteile

• Verlängerte Eingewöhnungszeit

• Beeinträchtigung der Zunge während der ersten Tage

• ggf. verschlechterte Aussprache

• relativ hohe Herstellungskosten