Fallbeispiel Polytrauma
Der hier vorgestellte Patient erlitt in der Nacht ein Hochrasanztrauma im PKW mit Überschlag.
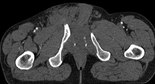
Im Schockraum-CT (Polytraumaspirale) zeigte sich neben einer vorderen und hinteren Beckenringfraktur auch eine akute Blutung im kleinen Becken durch eine Ruptur der linken A. pudenda interna (Abb. 1 und 2).
In der direkt anschließenden Angiographie konnte die Blutung lokalisiert (Abb. 3) sowie mit Coils embolisiert und damit gestillt werden (Abb. 4).
In einem späteren nativen Kontroll-CT nach erfolgter Osteosynthese der Beckenringfraktur sind neben der Schrauben- und Plattenosteosynthese die metallenen Coils gut erkennbar (Abb. 5 und 6).

Abb. 1 früharterielle KM-Phase

Abb. 2 spätvenöse KM-Phase

Abb. 3 Darstellung der Blutung in der Angiographie

Abb. 5 Kontrolle im CT mit sichtbaren Coils

Abb. 4 Coiling nach Blutung

Abb. 6 Kontrolle der Osteosynthese mit sichtbaren Coils links