Molar-Incisor-Hypomineralisation (MIH)
Diese Form der Mineralisationsstörung (engl.: Molar-Incisor-Hypomineralisation) betrifft die ersten Bleibenden Backenzähne (Molar) und die Bleibenden Schneidezähne (Incisor) im Oberkiefer und Unterkiefer. Häufig sind vor allem die Oberen Mittleren Schneidezähne und die Ersten Bleibenden Backenzähne betroffen, seltener die Unteren Schneidezähne. Die Zähne zeigen dabei gelblich-weisse bis braune Verfärbungen, die nur einzelne Bereiche des Zahnes oder den ganzen Zahn betreffen können. Betroffene Zähne reagieren meist empfindlich auf thermische Reize (Heiss-, Kaltempfindlichkeit). Manchmal ist schon die tägliche Zahnpflege dieser Zähne sehr schmerzhaft. Die daraus resultierende schlechtere Mundhygiene führt, dazu dass diese Zähne schnell kariös werden. Generell besteht dies Gefahr, da der Zahnschmelz nur unzureichend mineralisiert ist, was die Entstehung von Karies begünstigt. Ein weiteres Problem stellt die ungünstige Ästhetik dar, wenn die Frontzähne betroffen sind.
Die Ursache für diese Erkrankung ist bis jetzt noch nicht abschließend geklärt. In der Wissenschaft werden zur Zeit verschiedene Ursachen diskutiert. Es kommt auch bei dieser Erkrankung zu einer Schädigung der Zellen, die den Zahnschmelz (äußere Zahnhartsubstanz) bilden. Die Schädigung kann vor der Geburt oder in den ersten Lebensjahren erfolgen.
Eine professionelle zahnärztliche Betreuung von Patienten mit dieser Erkrankung ist daher unerlässlich. Regelmäßige Zahnreinigungen sind sehr wichtig, da es an den rauen Oberflächen dieser Zähne zu vermehrter Plaqueanlagerung und Zahnsteinbildung kommt. Ebenso stellt die Versiegelung der Fissuren von betroffenen Backenzähnen ein wirksames Mittel dar, um den Erhalt dieser zu Zähne zu sichern. Bei größeren Substanzverlusten oder großer kariöser Zerstörung, müssen die betroffenen Zähne überkront werden. Kleinere Defekte können mit zahnfarbenen Kunststoffen versorgt werden.
Sollte ihr Kind von dieser Erkrankung betroffen sein, werden wir Sie gerne über Behandlungsmöglichkeiten informieren. Vereinbaren Sie dazu bitte einen Termin in unserer Poliklinik.

Aufnahme eine Backenzahns mit einer schweren MIH. Der Zahn ist bereits kariös.

Aufnahme eines Backenzahnes mit einer schweren MIH. Der Zahn ist nicht kariös. Es zeigen sich die typischen gelb- braunen Veränderungen.

Aufnahme eines nicht kariösen Backenzahnes mit einer schweren MIH. Es zeigen sich die typischen gelb-braunen Veränderungen.

Aufnahme der Frontzähne des Ober- und Unterkiefers mit einer milden MIH. Die Zähne weisen weissliche Veränderungen im Bereich der Schneidekanten auf.

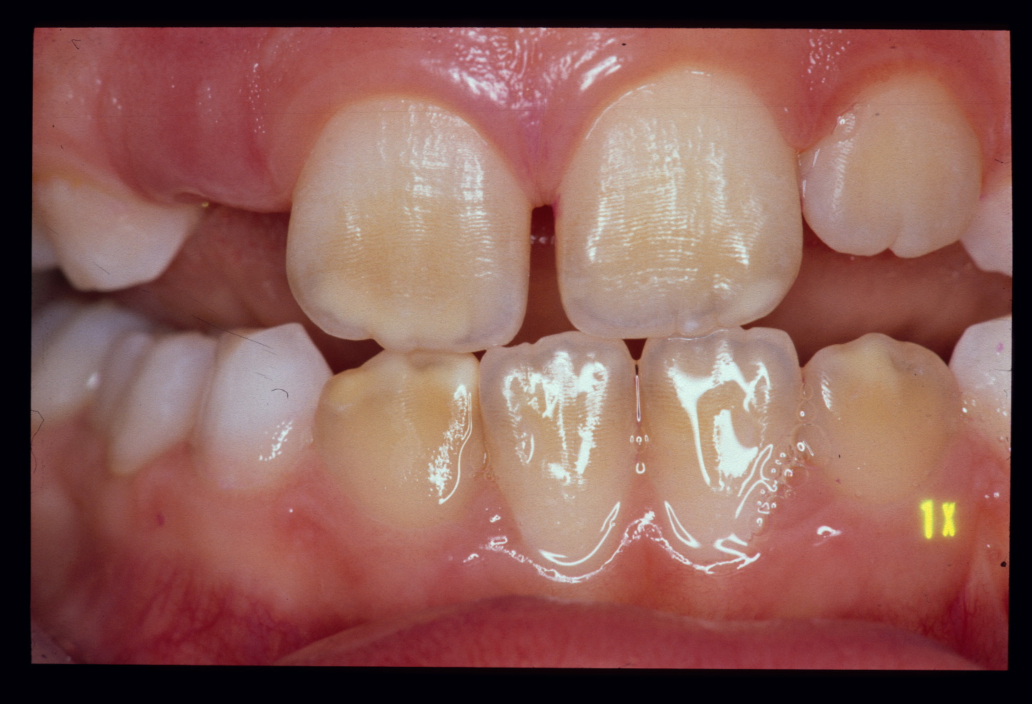
Aufnahme der Frontzähne des Ober- und Unterkiefers mit einer schweren MIH. Die Zähne weisen deutliche gelbliche Veränderungen auf.