 |
Platzmangel/Engstand
Mögliche Folgen:
Karies, bedingt durch erschwerte Reinigung, Parodontalschäden
|
 |
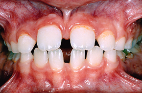
Platzüberschuss/Lückenstand
Mögliche Folgen:
Störungen bei der Aussprache
|
|

|
Großer Überbiss
Mögliche Folgen:
Gefahr der Zahnfraktur bei Sturz durch vorstehende Zähne,
Wachstumshemmung des Unterkiefers,
Kau- und Abbeißprobleme, Kiefergelenksprobleme
|
|

|
Umgekehrter Überbiss
Mögliche Folgen:
Ungehemmtes Unterkieferwachstum,
Kau- und Abbeißprobleme, Kiefergelenksprobleme
|
|

|
Kreuzbiss (frontal)
Mögliche Folgen:
Gehemmtes Oberkieferwachstum, Parodontalschäden
|
|
.bmp)
|
Kreuzbiss (seitlich)
Mögliche Folgen:
asymetrisches Unterkieferwachstum, bedingt durch einseitige Wachstumshemmung, Entwicklung eines schiefen Gesichts
|
|
.bmp)
|
Offener Biss (frontal)
Mögliche Folgen:
Störungen bei Aussprache und Abbeiss-
und Kaufunktion
|
 |
Offener Biss (seitlich)
Mögliche Folgen:
Störungen bei Abbeiss-
und Kaufunktion
|
 |
Tiefbiss/ Deckbiss
Mögliche Folgen:
Einbiss in Gaumenschleimhaut/ Parodontalschäden
|