Herzkatheterlabor
Unsere Herzkatheterlabore sind zentraler Bestandteil unserer Abteilung und ermöglichen es uns eine moderne kardiologische Versorgung und präzise Diagnostik mit anschließender gezielter Behandlung von Herz-Kreislauf-Erkrankungen durchzuführen. Durch den Einsatz minimalinvasiver Verfahren bieten wir den Patienten so eine schonende Alternative zu operativen Eingriffen. Das Leistungsspektrum umfasst sowohl diagnostische Maßnahmen wie die Koronarangiographie zur Darstellung der Herzkrankgefäße als auch therapeutische Interventionen, darunter die Aufweitung verengter Gefäße mittels Ballonkatheter (PTCA) oder das Einsetzen von Gefäßstützen (Stents). Ergänzt wird das Angebot durch moderne, minimalinvasive Behandlung von Herzklappenfehlern und weiteren strukturellen Herzerkrankungen, sowie elektrophysiologische Untersuchungen und Eingriffe zur Behandlung von Herzrhythmusstörungen.
Ausführliche Informationen zu unserem Leistungsspektrum sind im Folgenden zusammengestellt.
Beachten Sie bitte auch unsere Informationsbroschüre für Herzkathetereingriffe, die Sie hier finden.
Koronare Herzerkrankung
Diagnostische Herzkatheteruntersuchung

Ansprechpartner:
Prof. Dr. Bernhard Unsöld
Stellv. Klinikdirektor
E-mail: bernhard.unsoeld@innere.med.uni-giessen.de
Die diagnostische Koronarangiographie ist ein etabliertes Verfahren zur genauen Beurteilung der Herzkranzgefäße. Sie wird vor allem eingesetzt um Durchblutungsstörungen der Herzkranzgefäße (so genannte Koronare Herzkrankheit) zu erkennen. Die Untersuchung liefert präzise Informationen über den Zustand der Gefäße und dauert circa 20-30min. In der Regel ist eine örtliche Betäubung ausreichend. In vielen ällen kann direkt im Anschluss die notwendige Therapie - etwa die Aufdehnung einer Engstelle oder das Einsetzen von Stents - erfolgen. Damit stellt die Herzkatheteruntersuchung einen wichtigen Baustein in der modernen kardiologischen Diagnostik und Therapie da.
Zu unserem Leistungsspektrum gehören:
- Linksherzkatheter (inkl. Ventrikulographie)
- Rechtsherzkatheter (Ruhe und Belastung) zur Beurteilung der intrakardialen Druckverhältnisse und der Lungendrücke
- Diagnostik der koronaren Mikrozirkulation
Perkutane Koronarintervention (PCI)

Ansprechpartner:
Prof. Dr. Bernhard Unsöld
Stellv. Klinikdirektor
E-mail: bernhard.unsoeld@innere.med.uni-giessen.de
Die perkutane Koronarintervention (PCI) ist ein minimalinvasives Verfahren zur Behandlung von Verengung oder Verschlüssen der Herzkranzgefäße, die meist durch Arteriosklerose (Gefäßverkalkung) verursacht werden. Ziel der PCI ist es, die Durchblutung des Herzmuskels zu verbessen, Symptome wie Brustschmerzen zu lindern und das Risiko für einen Herzinfarkt zu senken. Zum Einsatz kommen moderne, medikamentenbeschichtete Stents oder Ballons, um das Risiko eines Wiederauftretens der Verengung weiter zu minimieren. Die PCI ist ein sicheres und bewährtes Verfahren mit kurzer Erholungszeit und wird sowohl geplant als auch im Rahmen eines akuten Herzinfarktes durchgeführt. Dank der PCI lassen sich viele Herzpatienten heute ohne Operation erfolgreich behandeln - mit spürbarer Besserung der Lebensqualität und langfristigem Schutz vor schwerwiegenden Komplikationen.
Unser Leistungsspektrum umfasst:
- Ballonangioplastie
- Läsionsmodifikation mit Ultra-Hochdruckballons (OPN) oder Blade-Angioplastie
- Implantation medikamentenbeschichteter Stents (DES) oder Ballons (DEB)
- Rotablation
- Orbitale Atherektomie
- Intravaskuläre Lithotripsie (IVL)
- Rekanalisation chronischer Koronarverschlüsse (CTO)
- Hochrisiko-PCI mit Unterstützungssystem (Protected PCI)
- Koronarsinusreducer
Angiographische Darstellung der rechten Herzkranzarterie vor und nach Rotablation
Wir sind durch die Deutsche Gesellschaft für Kardiologie als Qualifikationsstätte interventionelle Kardiologie zertifiziert.

Intravaskuläre Hämodynamik (FFR, RFR)

Ansprechpartner:
Prof. Dr. Bernhard Unsöld
Stellv. Klinikdirektor
E-mail: bernhard.unsoeld@innere.med.uni-giessen.de
Die intrakoronare hämodynamische Messung ist ein spezialisiertes diagnostisches Verfahren zur präzisen Beurteilung der Durchblutungssituation in den Herzkranzgefäßen. Sie kommt insbesondere dann zum Einsatz, wenn bei der Koronarangiographie unklar bleibt, ob eine gefundene Engstelle (Stenose) tatsächlich behandlungsbedürftig ist. Ziel ist es die funktionelle Relevanz einer Gefäßverengung zu bestimmen - also zu klären, ob sie die Durchblutung des Herzmuskels signifikant beeinträchtig
Hierzu werden spezielle Druck- oder Flussdrähte in das betroffene Gefäß während der Herzkatheteruntersuchung eingebracht und es erfolgt je nach Verfahren
- Die Messung der fraktionellen Flussreserve (FFR)
- Die Messung des instantaneous wave-free ratio (iFR)
- Die Messung der koronaren Flussreserve (CFR) im Rahmen der Mikrozirkulationstestung.
Diese Verfahren sind alle bei uns verfügbar und liefern eine objektive Entscheidungsgrundlage und tragen dazu bei unnötige Eingriffe zu vermeiden und gleichzeitig relevante Gefäßverengungen gezielt zu behandeln. Damit verbessert sich die Versorgungsqualität und die Prognose von Patienten mit koronarer Herzkrankheit.
Intravaskuläre Bildgebung (IVUS, OCT)

Ansprechpartner:
Prof. Dr. Bernhard Unsöld
Stellv. Klinikdirektor
E-mail: bernhard.unsoeld@innere.med.uni-giessen.de
Die intravaskuläre Bildgebung ist eine moderne Erweiterung der Koronarangiographie mit der sich die Herzkranzgefäße hochauflösend von innen darstellen lassen. Während die klassische Angiographie lediglich das Gefäßlumen unter Verwendung von Kontrastmittel sichtbar macht, ermöglichen Verfahren wie die optische Kohärenztomographie (OCT) und der intravaskuläre Ultraschall (IVUS) eine detaillierte Analyse der Gefäßwandstruktur und der Beschaffenheit von Plaques.
- Die OCT arbeitet mit infrarotem Licht und liefert extrem hochauflösenden Bilder. Damit lassen sich feine Details wie dünne Plaquekappen, Mikrothromben oder Dissektionen präzise erkennen.
- Der IVUS nutzt hochfrequente Ultraschallwellen um Querschnittsbilder der Gefäßwand zu erzeugen. Die Auflösung ist etwas geringer als beim OCT dafür kann der IVUS auch in größeren Gefäßen sowie bei stärkerem Blutfluss zuverlässig eingesetzt werden. Er liefert wichtige Informationen über die Dicke der Gefäßwand, die Ausdehnung von Plaques und die exakte Gefäßgröße - Daten die für die Planung und Durchführung einer Koronarintervention entscheidend sind.
Beide Verfahren kommen bei uns am Standort regelmäßig zum Einsatz und helfen, Eingriffe gezielter und sicherer durchzuführen und die Langzeitergebnisse zu verbessern. Die intravaskuläre Bildgebung ist damit ein wertvolles Instrument in der interventionellen Kardiologie - besonders bei komplexen oder unklaren Befunden.

OCT Aufnahme zur Einschätzung der Stentapposition
Messung der kardialen Mikrozirkulation

Ansprechpartner:
Prof. Dr. Bernhard Unsöld
Stellv. Klinikdirektor
E-mail: bernhard.unsoeld@innere.med.uni-giessen.de
Die kardiale Mikrozirkulation umfasst die kleinsten Blutgefäße des Herzens, welche für die Versorgung des Herzmuskelgewebes mit Sauerstoff und Nährstoffen verantwortlich ist. Störungen in diesem Gefäßnetz können trotz unauffälliger großer Herzkranzgefäße zu Angina pectoris, Herzinsuffizienz oder anderen kardiovaskulärem Beschwerden führen. Daher gewinnt die Messung und Beurteilung der Mikrozirkulation zunehmend an Bedeutung in der invasiven kardiologischen Diagnostik.
Die Messung der kardialen Mikrozirkulation erfolgt meist während einer Herzkatheteruntersuchung mittels spezieller Methoden wie:
- Die Koronare Flussreserve (CFR) bewertet das Verhältnis von Blutfluss im Gefäß in Ruhe zu dem bei maximaler Gefäßerweiterung (durch medikamentöse Stimulation erreicht). Sie gibt Aufschluss darüber, wie gut die Mikrozirkulation auf erhöhte hämodynamische Anforderungen reagieren kann.
- Der Index der mikrovaskulären Resistenz (IMR) misst spezifisch den Widerstand in den kleinen Gefäßen, unabhängig von der Belastung des Herzmuskels selbst.
Diese Verfahren helfen Mikrozirkulationsstörungen zu erkennen, die mit herkömmlichen bildgebenden Verfahren oft nicht sichtbar sind. Eine gezielte Diagnose ermöglicht eine individuelle Therapieplanung und verbessert das Management von Patienten mit Beschwerden trotz unauffälliger Darstellung der großen Herzkranzgefäße in der Koronarangiographie. Die kardialem Mikrozirkulationsmessung ist am Standort vorhanden und kann entscheidend zur umfassenden Beurteilung und Behandlung kardiovaskulärer Erkrankungen beitragen.
Herzklappenerkrankungen
Aortenklappenstenose (TAVI, Aortenklappenvalvuloplastie)

Ansprechpartner:
PD Dr. Won-K. Kim
Stellv. Klinikdirektor, Leitung TAVI
E-mail: Won-Keun.Kim@innere.med.uni-giessen.de
Benjamin Zimmernmann
TAVI-Koordinator
E-mail: benjamin.zimmermann@uk-gm.de
Die kathetergestütze Aortenklappenimplantation (TAVI) ist ein innovatives minimalinvasives Verfahren zur Behandlung der Aortenklappenstenose - einer Verengung der Herzklappe, die den Blutfluss aus der linken Herzkammer behindert. Als schonende Alternative zu herkömmlichen offenen Herzoperation ermöglicht de TAVI insbesondere bei älteren oder schwer vorerkrankten Patienten eine effektive Wiederherstellung der Herzklappenfunktion. Die klinischen Ergebnisse sind so gut, dass auch Patienten mit einem niedrigeren operativen Risiko für eine entsprechende Versorgung in Betracht gezogen werden.
Bei der TAVI wird die neue Herzklappe über einen Katheter meist über die Leistenarterie bis zum Herzen geführt und dort passgenau in die erkranke Aortenklappe eingesetzt. Dieses Verfahren verkürzt die Erholungszeit erheblich und verbessert die Lebensqualität vieler Patienten. Die TAVI hat die Behandlungsmöglichkeiten der Aortenklappenstenose revolutioniert und ist heute fester Bestandteil der modernen Herzmedizin. An unserem Standort steht Ihnen ein sehr renommiertes Team mit viel Erfahrung zur Verfügung um die optimale Therapie mit Ihnen festzulegen.
Alle notwendigen Voruntersuchungen können bei uns am Standort mit hohe Expertise erfolgen:
- Transthorakale Echokardiographie, wenn notwendig transösophageale Echokardiographie (Schluckultraschall) oder Stressechokardiographie
- Kardiale Computertomographie zur Planung der Prozedur und Festlegung der Klappengröße und Klappenart
- Herzkatheteruntersuchung.
Die Aortenklappenvalvuloplastie wird als überbrückende Maßnahme vor geplanter TAVI (oder chirurgischem Aortenklappenersatz) bei hämodynamisch instabilen Patienten durchgeführt. Der Druckgradient über der Klappe lässt sich akut durch die Dilatation um 30-50% senken. Das führt häufig zu einer deutlichen Verbesserung des subjektiven Befindens. Allerdings lässt sich keine langfristige Verbesserung herstellen, sodass eine definitive Versorgung im Verlauf notwendig wird.
Wir sind durch die Deutsche Gesellschaft für Kardiologie als TAVI Zentrum zertifiziert.

Aortenklappeninsuffizienz (JenaValve)

Ansprechpartner:
PD Dr. Won-K. Kim
Stellv. Klinikdirektor, Leitung TAVI
E-mail: Won-Keun.Kim@innere.med.uni-giessen.de
Benjamin Zimmernmann
TAVI-Koordinator
E-mail: benjamin.zimmermann@uk-gm.de
Die interventionelle Behandlung der Aortenklappeninsuffizienz stellt eine besondere Herausforderung dar, da die herabgesetzte Schlussfunktion der Aortenklappe - im Gegensatz zur Aortenklappenstenose - häufig mit nur geringer Verkalkung auftritt. Konventionelle TAVI-Systeme, die auf die Verankerung in verkalktem Gewebe angewiesen sind stoßen hier an ihre Grenzen. Das JenaValve-System bietet eine innovative Lösung speziell für die interventionelle Therapie der isolierten Aortenklappeninsuffizienz. Als eines der wenigen Zentren in Deutschland steht uns die JenaValve zur Versorgung unserer Patienten zur Verfügung.
Die JenaValve zeichnet sich durch ein einzigartiges Ankersystem aus. Dieses greift gezielt in die nativen Aortenklappentaschen ein und fixiert die neue Klappe stabil ohne auf Verkalkung angewiesen zu sein. Diese Therapie richtet sich vor allem an Patienten für die eine offene Operation ein zu hohes Risiko darstellt. Der Eingriff erfolgt minimalinvasiv, in der Regel über einen Zugang an der Leiste.
So steht Ihnen an unserem Zentrum eine spezialisierte Therapieoption für die Behandlung der schweren Aortenklappeninsuffizienz zur Verfügung - ein bedeutender Fortschritt für Patienten mit hohem operativen Risiko und bisher begrenzten therapeutischen Möglichkeiten.
Mitralklappeninsuffizienz (M-TEER, Carillon)

Ansprechpartner:
Prof. Dr. Bernhard Unsöld
Stellv. Klinikdirektor
E-mail: bernhard.unsoeld@innere.med.uni-giessen.de
Dr. Kerstin Piayda, MSc
Koordination AV-Klappenprogramm
E-mail: kerstin.piayda@uk-gm.de
↵Die Mitralklappeninsuffizienz ist der zweithäufigste Herzklappenfehler und kann, je nach Schweregrad, zu einer deutlichen Beeinträchtigung der Lebensqualität führen. Häufig liegen eine Leistungsminderung, Luftnot, Herzrhythmusstörungen und weitere Zeichen einer Herzschwäche vor.
Die Mitralklappeninsuffizienz entsteht entweder durch einen direkten Defekt der Herzklappe selbst (so genannte primäre oder degenerative Mitralklappeninsuffizienz) oder kann durch eine Vergrößerung der Herzhöhlen bedingt sein (so genannte sekundäre oder funktionelle Mitralklappeninsuffizienz. Auch Mischformen können vorliegen. Die Ursache der Mitralklappeninsuffizienz beeinflusst maßgeblich das Therapiekonzept. Für viele Patienten mit erhöhtem Operationsrisiko stellt die katheterbasierte Therapie der Mitralklappe eine schonende und wirksame Alternative zur offenen Herzoperation dar.
Wir bieten Ihnen die Möglichkeit einer vollumfänglichen Diagnostik (gerne auch ambulant) und der interdisziplinären Beratung.
Folgende Diagnostik stehen Ihnen bei uns zur Verfügung:
- Ultraschall (transthorakal, transösophageal (Schluckultraschall), Stressechokardiographie)
- Rechtsherzkatheter (Ruhe + Belastung)
- Linksherzkatheter
- Kardiale Computertomographie zur Planung komplexer Eingriffe
- Optimierung der medikamentösen Therapie
An interventionellen Therapieoptionen stehen Ihnen bei uns folgende Optionen zur Verfügung:
- Minimalinvasive Reparatur der Mitralklappe (Edge-to-Edge-Repair, auch M-TEER oder MitraClip genannt): über einen venösen Zugang in der Leiste wird das System vorgeschoben und unter 3-D- Ultraschallkontrolle passgenau im Bereich der Undichtigkeit eingesetzt. Daurch werden die Segel der Mitralklappe wieder besser miteinander verbunden und der Rückfluss des Blutes in den linken Vorhof reduziert.
- Indirekte Annuloplastie (Carillon): ist ein innovatives kathetergestützes Verfahren zur Behandlung der funktionellen Mitralklappeninsuffizienz. Hier wird über die Halsvene ein spezieller Ankerdraht durch den Koronarsinus bis in die Nähe des Mitralklappenrings eingebracht. Dort wird das Carillon, ein flexibler metallischer Anker mit Zugmechanismus, platziert. Durch gezieltes Zusammenziehen des Systems wird der Durchmesser des Mitralklappenrings verringert was zu einer besseren Koaptation (Schlussfähigkeit) der Klappensegel führt und so die Insuffizienz reduziert.
Wir sind durch die Deutsche Gesellschaft für Kardiologie als Mitralklappenzentrum zertifiziert.

Mitralklappenstenose (Ballonvalvuloplastie)

Ansprechpartner:
Prof. Dr. Bernhard Unsöld
Stellv. Klinikdirektor
E-mail: bernhard.unsoeld@innere.med.uni-giessen.de
PD Dr. Won-K. Kim
Stellv. Klinikdirektor
E-mail: Won-Keun.Kim@innere.med.uni-giessen.de
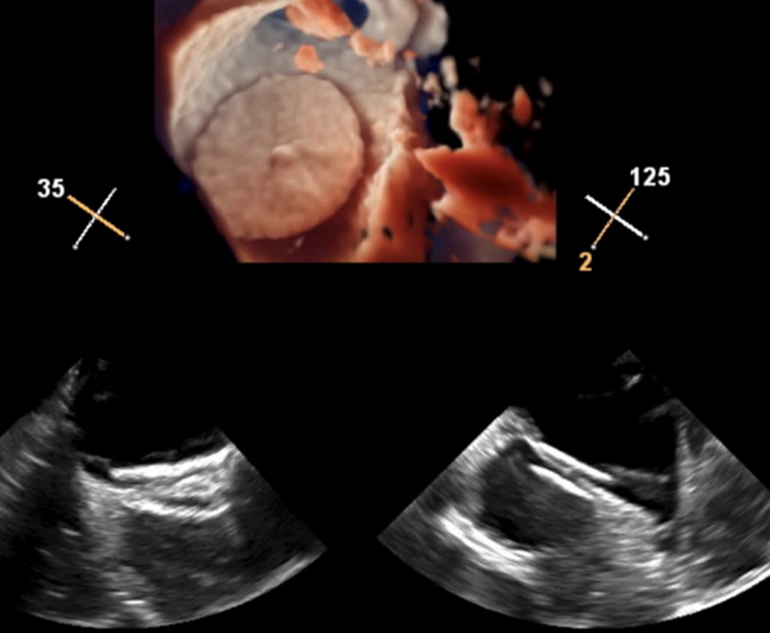
Die Ballonvalvuloplastie (perkutane Mitralkommissurotomie) ist ein minimalinvasives Verfahren zur Behandlung der Mitralklappenstenose, vor allem bei rheumatischer Genese. Sie kommt bei symptomatischen Patienten mit reduzierter Klappenöffnungsfläche (<1,5 cm²) und günstiger Klappenmorphologie (Wilkins-Score ≤8) zum Einsatz. Wichtige Ausschlusskriterien sind eine relevante Mitralklappeninsuffizienz oder ein Thrombus im linken Vorhof.
Über die Vena femoralis wird ein Ballonkatheter eingeführt. Nach einer transseptalen Punktion wird der Ballon durch die Mitralklappe geführt und aufgeblasen, um die verklebten Kommissuren zu lösen. Die Prozedur verbessert die Klappenöffnung, senkt den Druckgradienten und lindert Symptome. Die Erfolgsrate ist hoch, die Komplikationsrate niedrig.
Damit stellt die Ballonvalvuloplastie ist eine effektive, katheterbasierte Alternative zur Operation – besonders bei jungen Patienten mit geeigneter Anatomie.

Schuckultraschallbilder während der interventionellen Behandlung einer relevanten Mitralklappenstenose
Trikuspidalklappeninsuffizienz (T-TEER, EVOQUE, TricValve)

Ansprechpartner:
Prof. Dr. Bernhard Unsöld
Stellv. Klinikdirektor
E-mail: bernhard.unsoeld@innere.med.uni-giessen.de
Dr. Kerstin Piayda, MSc
Oberärztin, Koordination AV-Klappenprogramm
E-mail: kerstin.piayda@uk-gm.de
Die Trikuspidalklappeninsuffizienz (TI) ist eine häufige Klappenerkrankung, die mit einer Rückströmung von Blut aus dem rechten Ventrikel in den rechten Vorhof einhergeht. Insbesondere bei Patienten mit sekundärer TI aufgrund von Rechtsherzbelastung oder dilatativer Rechtsherzerkrankung führt dies zu belastenden Symptomen wie Rechtsherzinsuffizienz, Aszites und Ödemen. Traditionell wurde die Behandlung bei schweren Fällen chirurgisch durchgeführt, jedoch sind viele Patienten aufgrund von Komorbiditäten oder hohem Operationsrisiko für eine Operation nicht geeignet. Die interventionellen Therapieverfahren gewinnen deshalb zunehmend an Bedeutung.
Folgende Diagnostik stehen Ihnen bei uns zur Verfügung:
- Ultraschall (transthorakal, transösophageal (Schluckultraschall), Stressechokardiographie)
- Rechtsherzkatheter (Ruhe + Belastung)
- Linksherzkatheter
- Kardiale Computertomographie zur Planung komplexer Eingriffe
- Optimierung der medikamentösen Therapie
Folgende interventionelle Behandlungsmöglichkeiten stehen Ihnen bei uns zur Verfügung:
- Edge-to-Edge-Repair der Trikuspidalklappe (auch T-TEER oder TricaClip genannt): Das Edge-to-Edge-Verfahren ähnelt der erfolgreichen Mitralklappen-Clip-Technik und zielt darauf ab, die Klappensegmente der Trikuspidalklappe durch eine Naht oder Clips zu verbinden, um die Klappenöffnung zu verkleinern und die Regurgitation zu reduzieren. Dabei werden die Segel mechanisch näher zusammengebracht, um den Rückfluss des Blutes zu verringern. Dieses Verfahren wird per Kathetertechnik über den Venenzugang durchgeführt und bietet eine minimal-invasive Option zur Verbesserung der Klappenfunktion bei Hochrisikopatienten.
- EVOQUE System: Das EVOQUE-System ist ein neueres, interventionelles Implantat, das direkt auf der Trikuspidalklappe fixiert wird, um eine Rekonstruktion der Klappe zu erreichen. Es zielt auf eine Wiederherstellung der Klappenschlussfähigkeit ab, ohne die Notwendigkeit einer offenen Operation. EVOQUE wird mittels transvenösem Zugang implantiert und ist speziell für Patienten mit schwerer TKI geeignet, bei denen eine Klappenreparatur durch Clips nicht ausreichend ist.
- TricValve System: Das TricValve-Konzept ist eine interventionelle Therapie, die sich bei schweren Fällen von Trikuspidalklappeninsuffizienz mit nicht reparabler Klappenstruktur auf die Implantation von bioprothetischen Klappen im Venensystem (Vena cava superior und inferior) konzentriert. Ziel ist es, den Rückfluss von Blut in die systemische Venenzirkulation zu verhindern und so die Symptome der Rechtsherzinsuffizienz zu lindern. Dieses Verfahren ist eine palliative Maßnahme, die insbesondere bei Patienten mit hohem Operationsrisiko eingesetzt wird.
Die interventionelle Therapie der Trikuspidalklappeninsuffizienz erweitert das Behandlungsspektrum erheblich und bietet Patienten mit bisher limitierten Optionen neue Hoffnung auf Symptomlinderung und Lebensqualitätsverbesserung. Die Wahl des geeigneten Verfahrens richtet sich nach dem individuellen Krankheitsbild, der Anatomie der Klappe und dem klinischen Zustand des Patienten.

Weitere strukturelle Herzerkrankungen (PFO/ASD/VSD/LAA-Verschluss, PVL-Verschluss, TASH)
Interventioneller Verschluss paravalvulärer Leckagen (PVL)

Ansprechpartner:
Prof. Dr. Bernhard Unsöld
Stellv. Klinikdirektor
E-mail: bernhard.unsoeld@innere.med.uni-giessen.de
PD Dr. Won-K. Kim
Stellv. Klinikdirektor
E-mail: Won-Keun.Kim@innere.med.uni-giessen.de
Nach dem Einsatz einer künstlichen Herzklappe kann es manchmal vorkommen, dass sich kleine undichte Stellen zwischen der Klappe und dem Herzgewebe bilden. Diese nennt man paravalvuläre Leckagen. Sie können zu Luftnot, Herzschwäche oder einer Zerstörung der roten Blutkörperchen (Hämolyse) führen.
Wenn solche Beschwerden auftreten und eine erneute Operation zu risikoreich wäre, kann man das Leck minimalinvasiv – also ohne große Operation – mit einem Katheter verschließen. Dabei wird über eine Vene oder Arterie ein kleiner Schirm (Verschluss-Device) zum Leck geführt und dort platziert, um die undichte Stelle zu schließen.
Vorteile dieser Behandlung:
-
Keine offene Operation nötig
-
Geringeres Risiko und schnellere Erholung
-
Verbesserung von Beschwerden wie Luftnot oder Blutarmut
Verschluss eines atrialen Septumdefekts (ASD) oder ventrikulären Septumdefektes (VSD)


Ansprechpartner:
Prof. Dr. Bernhard Unsöld
Stellv. Klinikdirektor
E-mail: bernhard.unsoeld@innere.med.uni-giessen.de
PD Dr. Won-K. Kim
Stellv. Klinikdirektor
E-mail: Won-Keun.Kim@innere.med.uni-giessen.de
Septumdefekte des Herzens, insbesondere der Vorhofseptumdefekt (ASD) und der Ventrikelseptumdefekt (VSD), gehören zu den häufigsten angeborenen Herzfehlern. In ausgewählten Fällen kann ein interventioneller, kathetergestützter Verschluss eine effektive und weniger invasive Alternative zur chirurgischen Korrektur darstellen.
Beim Vorhofseptumdefekt – insbesondere beim häufigen Typ des sekundären ASDs (ASD II) – handelt es sich um eine persistierende Öffnung im interatrialen Septum, die zu einem Links-rechts-Shunt führt. Klinisch kann dies zu Volumenbelastung des rechten Herzens, Vorhofflimmern und pulmonaler Hypertonie führen. Der interventionelle Verschluss erfolgt über einen venösen Zugang mittels eines Doppelschirm-Okkluders, der unter transösophagealer oder intrakardialer Echokontrolle im Defekt positioniert wird.
Beim Ventrikelseptumdefekt – insbesondere bei kleineren muskulären Defekten – ist unter bestimmten Bedingungen ebenfalls ein katheterbasierter Verschluss möglich. Dieser erfolgt über einen arteriellen und venösen Zugang. Die Auswahl geeigneter Patienten erfolgt anhand von Lage, Größe und Morphologie des Defekts sowie hämodynamischer Relevanz.
Beide Verfahren werden in unserem Zentrum regelhaft angewandt. Die Vorteile gegenüber der offenen Herzchirurgie liegen insbesondere in der geringeren Invasivität, kürzeren Erholungszeit und reduzierten Komplikationsraten. Mögliche Risiken – wie Embolien, Rhythmusstörungen oder Dislokation des Okkluders – sind selten und in der Regel gut beherrschbar.
Langzeitstudien zeigen, dass ein erfolgreicher interventioneller Verschluss die Prognose verbessert, Symptome lindert und das Risiko spätere Komplikationen wie Herzinsuffizienz oder pulmonale Hypertonie senken kann.
Verschluss eines Persistierenden Foramen Ovale (PFO)
Ein persistierendes Foramen ovale (PFO) ist eine kleine, angeborene Verbindung zwischen den Herzvorhöfen, die sich bei etwa einem Viertel der Menschen nach der Geburt nicht vollständig schließt. Meist bleibt es unbemerkt und harmlos. In bestimmten Fällen, etwa bei einem Schlaganfall ohne erkennbare Ursache (kryptogener Schlaganfall), kann ein PFO jedoch eine Rolle spielen, da kleine Blutgerinnsel aus dem venösen Kreislauf durch die Öffnung ins Gehirn gelangen können.
In solchen Fällen kann ein PFO-Verschluss sinnvoll sein. Dabei wird über die Leistenvene ein Katheter ins Herz eingeführt und unter Bildgebung ein kleines Schirmchen in der Öffnung platziert, das diese dauerhaft verschließt. Der Eingriff dauert etwa eine Stunde, erfolgt meist unter lokaler Betäubung mit Sedierung, und erfordert in der Regel nur einen kurzen Krankenhausaufenthalt.
Der Verschluss kann bei sorgfältig ausgewählten Patienten das Risiko eines weiteren Schlaganfalls deutlich senken. Der Eingriff ist gut verträglich, kleinere Risiken wie Blutergüsse oder vorübergehende Herzrhythmusstörungen sind selten. Die Entscheidung zum PFO-Verschluss wird individuell nach ärztlicher Abklärung getroffen.

2-D und 3-D transösophageale Echokardiographie nach erfolgreichem PFO-Verschluss

Ansprechpartner:
Prof. Dr. Bernhard Unsöld
Stellv. Klinikdirektor
E-mail: bernhard.unsoeld@innere.med.uni-giessen.de
Dr. Korinna Feldmann
Oberärztin
E-mail: korinna.feldmann@innere.med.uni-giessen.de
Vorhofsohrverschluss (LAAO)


Ansprechpartner:
Prof. Dr. Bernhard Unsöld
Stellv. Klinikdirektor
E-mail: bernhard.unsoeld@innere.med.uni-giessen.de
PD Dr. Stanislav Keranov
Oberarzt
E-mail: stanislav.keranov@innere.med.uni-giessen.de
Bei Vorhofflimmern schlägt das Herz unregelmäßig und oft zu schnell. Dadurch kann sich das Blut im linken Vorhofohr, einer kleinen Ausstülpung im linken Vorhof, stauen. In diesem Bereich können sich Blutgerinnsel bilden, die über den Blutkreislauf ins Gehirn gelangen und dort einen Schlaganfall auslösen können.
Normalerweise wird zur Vorbeugung ein blutverdünnendes Medikament (Antikoagulation) eingesetzt. Manche Patienten können diese Medikamente jedoch nicht dauerhaft einnehmen, zum Beispiel wegen starker Blutungen oder einem erhöhten Sturzrisiko.
Für solche Fälle gibt es die Möglichkeit des LAA-Verschlusses. Dabei wird das linke Vorhofohr mit einem speziellen Verschlusssystem verschlossen, sodass sich dort keine Gerinnsel mehr bilden können.
Der Eingriff erfolgt minimalinvasiv. Über die Leistenvene wird ein Katheter zum Herzen geführt. Nach einer Punktion der Vorhofscheidewand gelangt der Arzt in den linken Vorhof und platziert dort das Verschlusssystem (zum Beispiel Watchman oder Amulet) im linken Vorhofohr. Der Eingriff dauert etwa ein bis zwei Stunden und wird in der Regel unter Narkose oder tiefer Sedierung durchgeführt.
Zu den Vorteilen des Verfahrens zählen die Senkung des Schlaganfallrisikos und die Möglichkeit, auf eine dauerhafte Blutverdünnung zu verzichten. Der Krankenhausaufenthalt ist meist kurz.
Der LAA-Verschluss ist eine bewährte und sichere Alternative für Patienten mit Vorhofflimmern, die keine dauerhafte blutverdünnende Therapie erhalten können.

Angiographische Darstellung und 3-D-Rendering eines Vorhofohrverschlusses
Transkoronare Ablation der Septumhypertrophie (TASH)

Ansprechpartner:
Prof. Dr. Bernhard Unsöld
Stellv. Klinikdirektor
E-mail: bernhard.unsoeld@innere.med.uni-giessen.de
Die transkoronare Ablation der Septumhypertrophie (TASH) ist ein interventionelles Verfahren zur Behandlung der hypertrophen obstruktiven Kardiomyopathie (HOCM). Diese Erkrankung ist durch eine asymmetrische Verdickung des interventrikulären Septums gekennzeichnet, die zu einer dynamischen linksventrikulären Ausflussbahnobstruktion (LVOTO) führt. Die daraus resultierenden Symptome – wie Dyspnoe, Angina pectoris, Synkopen oder belastungsabhängige Beschwerden – können die Lebensqualität erheblich einschränken.
Die TASH bietet eine minimal-invasive Alternative zur chirurgischen Septum-Myektomie bei symptomatischen Patienten mit nachgewiesener Obstruktion, die unter medikamentöser Therapie nicht ausreichend behandelt werden können oder für eine Operation nicht infrage kommen.
Verfahren:
Bei der TASH wird unter fluoroskopischer und echokardiografischer Kontrolle über einen Katheter eine kleine Menge absoluter Alkohol in einen septalen Seitenast der linken vorderen absteigenden Koronararterie injiziert. Dies führt gezielt zu einer lokalen Myokardnekrose im hypertrophierten Septum, wodurch das Gewebe schrumpft und die Obstruktion reduziert wird. Die Auswahl des geeigneten septalen Astes erfolgt unter Kontrastmittelgabe und intrakardialer Echokontrolle (z. B. transösophageale oder kontrastgestützte transthorakale Echokardiografie).
Ergebnisse und Prognose:
Die TASH kann zu einer signifikanten Reduktion des Druckgradienten in der linksventrikulären Ausflussbahn sowie zu einer deutlichen Besserung der Symptome führen. In erfahrenen Zentren ist das Verfahren sicher, die Erfolgsrate hoch und die Komplikationsrate gering. Eine häufige, jedoch meist vorübergehende Komplikation ist der AV-Block, der in manchen Fällen die Implantation eines permanenten Schrittmachers erfordert.
Die TASH stellt somit eine etablierte und effektive Therapieoption bei HOCM dar, wenn eine adäquate Patientenselektion und Durchführung gewährleistet ist.
Angiographische Darstellung des geeigneten Septalasts mit Intubation durch einen Koronardraht
Myokardbiopsie

Ansprechpartner:
Prof. Dr. Bernhard Unsöld
Stellv. Klinikdirektor
E-mail: bernhard.unsoeld@innere.med.uni-giessen.de
Die interventionelle Myokardbiopsie ist ein diagnostisches Verfahren zur Entnahme kleiner Gewebeproben aus dem Herzmuskel. Sie dient der Abklärung unklarer Herzerkrankungen, insbesondere bei Verdacht auf Myokarditis, infiltrative oder genetische Kardiomyopathien sowie zur Abstoßungskontrolle nach Herztransplantation.
Der Eingriff erfolgt in der Regel über die rechte Vena jugularis oder die Vena femoralis. Unter Röntgen- und Echokardiokontrolle wird ein spezieller Katheter (Bioptom) in den rechten Ventrikel eingeführt. Dort werden mehrere kleine Proben aus dem Myokard entnommen, meist aus dem interventrikulären Septum. In bestimmten Fällen – z. B. bei isolierten linksventrikulären Veränderungen – kann auch eine linksventrikuläre Biopsie über die Arteria femoralis durchgeführt werden.
Die entnommenen Gewebeproben werden histologisch, immunhistochemisch und molekularbiologisch untersucht, um z. B. entzündliche Veränderungen, Virusnachweise oder Speicherkrankheiten zu diagnostizieren.
Die Myokardbiopsie ist in erfahrenen Händen ein sicheres Verfahren. Mögliche Komplikationen sind selten, können aber Herzrhythmusstörungen, Perforationen oder Blutungen beinhalten.
Insgesamt ist die Myokardbiopsie ein wichtiges diagnostisches Instrument in der modernen Kardiologie, wenn bildgebende Verfahren alleine keine eindeutige Diagnose erlauben.

Angiographische Darstellung einer rechts- und linksventrikulären Biopsie.
Rhythmologie
Kardiale Devicetherapie (unter anderem Schrittmacher, ICD, CRT-P/D)

Ansprechpartner:
Dr. Philipp Bengel
Stellv. Leitung Elektrophysiologie
E-mail: phillip.bengel@innere.med.uni-giessen.de
Die kardiale Devicetherapie umfasst den Einsatz medizinischer Geräte zur Unterstützung und Behandlung von Herzkrankheiten, die mit einer gestörten Herzfunktion einhergehen. In den letzten Jahrzehnten haben sich implantierbare Geräte wie Herzschrittmacher, implantierbare Kardioverter-Defibrillatoren (ICDs) und kardiale Resynchronisationstherapie-Systeme (CRT) als entscheidende Therapiemöglichkeiten etabliert. Diese Technologien helfen, Herzrhythmusstörungen zu kontrollieren, das Risiko plötzlichen Herztods zu senken und die Pumpfunktion des Herzens zu verbessern. Die kardiale Devicetherapie spielt somit eine zentrale Rolle in der modernen Kardiologie und trägt wesentlich zur Verbesserung der Lebensqualität und Prognose von Patienten mit Herzinsuffizienz oder Arrhythmien bei.
Unser Leistungsangebot umfasst unter anderem:
- 1-/2-/3-Kammer Schrittmacher
- 1-/2-/3-Kammer ICD
- CRT-P/D zur kardialen Resynchronisationstherapie
- Kabellose Schrittmacher Systeme (sog. leadless pacer)
- Subkutane oder extrakardiale Defibrillatoren (S-ICD)
- Ereignisrekorder
- Revisionseingriffe defekter Elektroden
- Extraktion infizierter/defekter Systeme
Ablation von Vorhofflimmern (PVI)

Ansprechpartner:
PD Dr. Borislav Dinov
Leitung Elektrophysiologie
E-mail: borislav.dinov@innere.med.uni-giessen.de
Die kathetergestützte Vorhofflimmerablation, insbesondere in Form der Pulmonalvenenisolation (PVI), ist ein etabliertes Verfahren zur Behandlung von symptomatischem Vorhofflimmern. Ziel der Therapie ist es, elektrische Fehlimpulse, die typischerweise aus den Lungenvenen stammen und Vorhofflimmern auslösen, dauerhaft zu unterbrechen. Hierzu wird mittels Kathetertechnik gezielt Gewebe um die Mündungen der Lungenvenen im linken Vorhof elektrisch isoliert, sodass keine pathologischen Impulse mehr in den Vorhof gelangen können.
Die PVI kommt insbesondere bei Patienten mit paroxysmalem (anfallsartigem) Vorhofflimmern in Betracht, bei denen eine medikamentöse Therapie unzureichend wirksam oder nicht verträglich ist. Auch bei persistierendem Vorhofflimmern kann die Ablation sinnvoll sein, oft im Rahmen eines erweiterten Ablationskonzepts.
Das Verfahren wird in der Regel unter Sedierung durchgeführt. Mithilfe von Hochfrequenzstrom (Radiofrequenzablation), Kälteenergie (Kryoablation) oder Pulsed-Field Ablation wird die elektrische Isolation der Lungenvenen erreicht. Die Erfolgsrate hängt unter anderem von der Form und Dauer des Vorhofflimmerns sowie von begleitenden Herzerkrankungen ab.
Langfristig kann die PVI die Rhythmusstabilität verbessern, die Symptome deutlich lindern und die Lebensqualität steigern. Dennoch ist bei einem Teil der Patienten eine Wiederholung der Ablation notwendig, da es im Verlauf zu einem Wiederanschluss der Lungenvenen kommen kann. Auch nach erfolgreicher Ablation bleibt bei vielen Patienten eine individuelle Entscheidung zur Fortführung einer antikoagulativen Therapie erforderlich.
Unser Leistungsspektrum umfasst unter anderem:
- Thermische Ablationsverfahren (Radiofrequenzablation, Kryoablation)
- Pulsed-Field-Ablation (PFA)
- Elektronisches Mapping (CARTO, Ensite)
- Hybrid-Ablationen in Zusammenarbeit mit der Herzchirurgie
Bei Fragen sprechen Sie uns gerne an!
Ablation anderer supraventrikulärer Herzrhythmusstörungen (unter anderem Vorhofflattern, FAT, AVNRT, AVRT, WPW)

Ansprechpartner:
PD Dr. Borislav Dinov
Leitung Elektrophysiologie
E-mail: borislav.dinov@innere.med.uni-giessen.de
Ablation weiterer supraventrikulärer Herzrhythmusstörungen
Die Katheterablation ist eine etablierte Therapieform zur Behandlung verschiedener supraventrikulärer Herzrhythmusstörungen. Dabei wird gezielt Herzgewebe verödet, das für die Entstehung oder Aufrechterhaltung der Rhythmusstörung verantwortlich ist. Neben dem Vorhofflimmern, das besonders häufig auftritt, existieren weitere supraventrikuläre Arrhythmien, bei denen eine Ablation effektiv und oft kurativ eingesetzt werden kann.
- Vorhofflattern: Das typische Vorhofflattern ist durch eine kreisende Erregung im rechten Vorhof gekennzeichnet. Meist verläuft diese um die Trikuspidalklappe (cavotrikuspidaler Isthmus). Die Isthmus-Ablation ist in diesen Fällen Therapie der Wahl mit einer sehr hohen Erfolgsquote (>90 %) und niedriger Rezidivrate. Atypisches Vorhofflattern erfordert hingegen meist eine individuell angepasste elektrophysiologische Kartierung und Ablation.
- Fokal atriale Tachykardie (FAT): Bei der fokalen atrialen Tachykardie handelt es sich um eine Herzrhythmusstörung, die von einem umschriebenen Punkt im Vorhof ausgeht. Sie kann durch gesteigerte automatische Aktivität oder Triggermechanismen verursacht sein. Die Ablation erfolgt gezielt am Ursprungsfokus der Tachykardie. Erfolgsraten liegen je nach Lokalisation und anatomischer Zugänglichkeit bei 70–90 %. Die Indikation zur Ablation besteht vor allem bei symptomatischen oder therapieresistenten Verläufen.
- AV-Knoten-Reentrytachykardie (AVNRT): Die AVNRT ist eine häufige paroxysmale supraventrikuläre Tachykardie, die durch eine Reentry-Schleife im Bereich des AV-Knotens entsteht. Die Ablation zielt auf die sogenannte langsame Leitungsbahn ab und hat eine Erfolgsrate von über 95 %. Komplikationen sind selten, das Risiko einer AV-Blockierung liegt bei <1 %. Die Ablation ist vor allem bei häufig symptomatischen Episoden indiziert und stellt oft eine definitive Therapie dar.
- AV-Reentrytachykardie (AVRT)/ Wolff-Parkinson-White-Syndrom (WPW): Bei der AVRT kommt es zu einer kreisenden Erregung über eine akzessorische Leitungsbahn zwischen Vorhof und Ventrikel. Beim Wolff-Parkinson-White-Syndrom ist diese Bahn auch im Sinusrhythmus aktiv und führt zur präexzitierten Erregung des Ventrikels (Delta-Welle im EKG). Die Ablation der akzessorischen Bahn, meist entlang des atrioventrikulären Rings lokalisiert, bietet eine kurative Therapieoption mit Erfolgsraten >95 %. Besonders bei Hochrisikokonstellationen (z. B. kurze refraktäre Zeit der Bahn, Synkopen, dokumentierte Tachykardien) ist eine Ablation empfehlenswert.
Ablation ventrikulärer Tachykardien

Ansprechpartner:
PD Dr. Borislav Dinov
Leitung Elektrophysiologie
E-mail: borislav.dinov@innere.med.uni-giessen.de
Ablation ventrikulärer Herzrhythmusstörungen
Die Katheterablation ventrikulärer Herzrhythmusstörungen ist eine zunehmend wichtige Therapieoption zur Behandlung symptomatischer oder lebensbedrohlicher ventrikulärer Arrhythmien. Dabei werden gezielt krankhafte Erregungszentren oder -kreise im Ventrikelgewebe identifiziert und durch thermische Energie (z. B. Radiofrequenz oder Kälte) verödet, um die Rhythmusstörung zu unterbrechen oder zu beseitigen.
- Idiopathische ventrikuläre Extrasystolen und Tachykardien: Idiopathische ventrikuläre Rhythmusstörungen treten bei Patienten ohne strukturelle Herzerkrankung auf und haben meist einen gutartigen Verlauf. Häufige Ursprungsorte sind die Ausflusstrakte des rechten oder linken Ventrikels (z. B. RVOT-Tachykardie), fascikuläre VT (z. B. linksfascikuläre Reentrytachykardie, die Papillarmuskeln oder Mitralklappenannulus.
Die Ablation ist bei hoher Symptomlast, Einschränkung der Lebensqualität oder beginnender tachykardieinduzierter Kardiomyopathie indiziert. Die Erfolgsraten sind hoch (>85 %) und das Komplikationsrisiko gering. - Ventrikuläre Tachykardien bei struktureller Herzerkrankung: Bei Patienten mit koronarer Herzkrankheit (z. B. nach Myokardinfarkt), dilatativer Kardiomyopathie oder anderen strukturellen Herzerkrankungen entstehen ventrikuläre Tachykardien häufig auf der Basis von Narbengewebe. Die Arrhythmien verlaufen oft als Reentry-Tachykardien innerhalb oder entlang dieser Narben.Die Katheterablation verfolgt das Ziel, die arrhythmogenen Substrate (z. B. langsame Leitungszonen, kritische Isthmen) zu identifizieren und zu unterbrechen. Trotz technischer Fortschritte ist die Prozedur komplex und mit einem höheren Risiko behaftet. Erfolgsraten für die akute Elimination klinischer VTs liegen bei 70–90 %, langfristige Rezidive sind jedoch möglich. Die Ablation ist oft Teil eines multimodalen Therapiekonzepts, insbesondere bei Patienten mit implantiertem ICD.
- Elektrisch instabile Situation und VT-Sturm: In Akutsituationen wie einem sogenannten VT-Sturm (mehrfache VT-Episoden oder ICD-Schocks innerhalb kurzer Zeit) kann die Katheterablation lebensrettend sein. Hier erfolgt die Prozedur oft unter Sedierung oder Narkose, teils mit Unterstützung durch eine Kreislaufassistenz (z. B. Impella oder ECMO). Die Ablation zielt auf die Stabilisierung des Rhythmus und die Reduktion von Schockbelastung.
Temporäre Herz-Kreislaufunterstützungssysteme
Impella, ECMO, ECMELLA, IABP
Bei schwerer Herzinsuffizienz, kardiogenem Schock oder während hochriskanter kardiologischer Eingriffe kann eine temporäre mechanische Herz-Kreislauf-Unterstützung lebensrettend sein. Systeme wie Impella, ECMELLA und ECMO ermöglichen es, die Herz- und Kreislauffunktion vorübergehend zu entlasten und so die Organdurchblutung sicherzustellen, um Zeit für Behandlung, Erholung oder definitive Therapie zu gewinnen.
- Impella: Der Impella-Katheter ist eine minimal-invasive, perkutane Herzpumpe, die über die Aorta in die linke Herzkammer eingeführt wird. Er unterstützt die linksventrikuläre Auswurfleistung, indem er Blut direkt aus dem linken Ventrikel in die Aorta pumpt. So wird das Herz entlastet, die systemische Perfusion verbessert und der myokardiale Sauerstoffverbrauch gesenkt. Impella eignet sich besonders bei akutem kardiogenem Schock oder als Unterstützung bei komplexen Eingriffen wie Hochrisiko-PCI.
- ECMO (Extrakorporale Membranoxygenierung): Die ECMO ist ein extrakorporales Kreislaufgerät, das sowohl das Herz als auch die Lunge unterstützt. Blut wird aus dem Körper abgeleitet, mit Sauerstoff angereichert und Kohlendioxid entfernt, bevor es zurück in den Kreislauf gepumpt wird. Die ECMO kann veno-arteriell (VA-ECMO) eingesetzt werden, um das Herz-Kreislauf-System zu unterstützen, oder veno-venös (VV-ECMO) zur alleinigen Lungenunterstützung. VA-ECMO wird häufig bei kardiogenem Schock eingesetzt, wenn eine umfassende Herz- und Kreislaufunterstützung erforderlich ist.
- ECMELLA: Der Begriff „ECMELLA“ beschreibt die kombinierte Anwendung von ECMO und Impella. Diese hybride Strategie nutzt die Vorteile beider Systeme: Die ECMO übernimmt die Kreislauf- und Sauerstoffversorgung, während Impella das linke Ventrikel entlastet. Dies reduziert die Belastung des Herzens, verhindert eine Überblähung des linken Ventrikels und kann Komplikationen wie Lungenödem vorbeugen. ECMELLA wird zunehmend bei schwersten Fällen kardiogenen Schocks oder bei Patienten mit hohem Risiko angewendet.
Temporäre Herz-Kreislauf-Unterstützungssysteme haben die Behandlung kritischer kardialer Zustände revolutioniert. Die Auswahl des geeigneten Systems hängt von der klinischen Situation, dem Schweregrad der Herz- und Lungeninsuffizienz sowie den individuellen Patientenfaktoren ab. Eine frühzeitige und interdisziplinäre Entscheidung verbessert die Überlebenschancen und ermöglicht die Stabilisierung bis zu definitiven Therapien wie Herztransplantation oder dauerhafter mechanischer Unterstützung.
Alle hier vorgestellten Verfahren sind am Standort etabliert und stehen rund um die Uhr zur Verfügung. Der Einsatz von temporären Herz-Kreislaufunterstützungssystemen erfolgt nach kritischer Risiko-Nutzen-Abwägung.
Wir sind als Cardiac Arrest Center zertifiziert und Teil des kardiogenen Schocknetzwerk Mittelhessen.



Ansprechpartner:
Prof. Dr. Bernhard Unsöld
Stellv. Klinikdirektor
E-mail: bernhard.unsoeld@innere.med.uni-giessen.de
Dr. Jacob Lorenz
Oberarzt, Intensivstation
E-mail: jacob.lorenz@innere.med.uni-giessen.de
Interventionelle Therapie der Lungenarterienembolie
Thrombusaspiration (INARI)

Ansprechpartner:
Prof. Dr. Bernhard Unsöld
Stellv. Klinikdirektor
E-mail: bernhard.unsoeld@innere.med.uni-giessen.de
Die Lungenarterienembolie (LAE) ist ein akuter, potenziell lebensbedrohlicher Verschluss von Lungengefäßen durch Blutgerinnsel. Sie kann zu plötzlicher Luftnot, Brustschmerzen, Kreislaufschock oder sogar zum Tod führen. Besonders bei größeren Embolien mit Rechtsherzbelastung oder instabilem Kreislauf ist eine rasche Behandlung entscheidend.
Neben der medikamentösen Auflösung der Gerinnsel (Lysetherapie) steht heute auch eine interventionelle Therapie zur Verfügung – vor allem bei Patienten mit erhöhtem Blutungsrisiko oder bei Kontraindikationen für eine Lyse.
Eine innovative Methode ist die mechanische Thrombektomie mit dem INARI-FlowTriever-System. Dabei wird über die Leistenvene ein spezieller Katheter in die Lungenarterie vorgeschoben. Das System erlaubt es, das Gerinnsel ohne Einsatz von Medikamenten direkt und effektiv abzusaugen oder mechanisch zu entfernen. Ziel ist es, den Blutfluss rasch wiederherzustellen, die Belastung des rechten Herzens zu senken und Symptome wie Luftnot schnell zu lindern.
Der Eingriff ist besonders geeignet für Patienten mit mittelschwerer bis schwerer Embolie, bei denen eine schnelle Druckentlastung notwendig ist.
Insgesamt stellt die interventionelle Therapie mit dem INARI-System eine vielversprechende und zunehmend genutzte Option bei der Behandlung der Lungenarterienembolie dar – insbesondere bei schwer erkrankten Patienten, bei denen eine Lyse nicht möglich oder nicht ausreichend ist. Diese Therapie ist zu jeder Tages- und Nachtzeit an unserem Standort verfügbar um schwer betroffenen Patienten suffizient zu helfen.

Abgesaugtes Thrombusmaterial bei fulminanter Lungenarterienembolie
Interventionelle Behandlung der arteriellen Hypertonie
Renale Denervation

Ansprechpartner:
Prof. Dr. Bernhard Unsöld
Stellv. Klinikdirektor
E-mail: bernhard.unsoeld@innere.med.uni-giessen.de
Die renale Denervation ist ein minimalinvasives Verfahren zur Behandlung der arteriellen Hypertonie (Bluthochdruck), insbesondere bei Patienten, deren Blutdruck trotz Medikamenteneinnahme nicht ausreichend kontrolliert werden kann.
Bei diesem Eingriff werden über einen Katheter, der meist über die Leistenarterie eingeführt wird, gezielt Nervenfasern in den Wänden der Nierenarterien verödet. Diese Nerven sind Teil des sympathischen Nervensystems und tragen zur Blutdruckregulation bei. Durch die Denervation wird die Aktivität dieser Nerven reduziert, was zu einer Senkung des Blutdrucks führt.
Die renale Denervation dauert in der Regel etwa 30 bis 60 Minuten und erfolgt unter lokaler Betäubung. Sie wird in spezialisierten Zentren durchgeführt und kann dazu beitragen, die Zahl der benötigten Medikamente zu reduzieren oder den Blutdruck bei therapieresistentem Bluthochdruck zu verbessern.
Insgesamt bietet die renale Denervation eine innovative Option zur zusätzlichen Behandlung des schweren Bluthochdrucks, vor allem bei Patienten, die trotz optimaler Medikation nicht ausreichend eingestellt sind. Sprechen Sie uns gerne an.

Denervierungskatheter und angiographische Darstellung des Katheters im Bereich der rechten Niere
Wir sind zertifiziertes Hypertoniezentrum der Deutschen Hochdruckliga.
